虫歯

一般治療

一般治療

一般治療とは、虫歯治療や歯周病予防、歯槽膿漏の治療などを主とする診療のことを指します。
これは自費のかぶせ物・矯正治療・インプラントといった一部保険の利かない自由診療と区別するために用いられます。

当院では、患者様に対して様々な治療を納得していただける様に説明しており、保険治療(健康保険が利く範囲内で治療をする)を行いますので費用に関しても安心して治療を受けていただくことができます。

また、虫歯や歯周病を予防するためには日々の正しいブラッシングがとても重要です。きちんと磨いているつもりでも落としきれていない汚れなどがあると虫歯や歯周病の原因となりますので、歯の健康のためには定期的に検診しましょう。

当院のクリーニングでは、定期的なお口の掃除で歯石の除去・着色とりはもとより虫歯・歯周病の予防・治療をおこなっておりますので、予防の方も治療の方もお気軽にお越しください。

京急平和島歯科の10ヶ条

1
治療内容を明確にしっかりした説明を1人1人に行い、それぞれ、患者様に最適な治療の提案をして丁寧に診療を行っております。
1.当日・次回の治療はもとより、治療ゴールの説明まで
2.選択した治療のメリット・デメリットの説明など
2
患者様を、お待たせしないように努めてまいります。
3
治療の予後をより良くするため清潔域の確立をします。
1.マスク・グローブ・紙コップのディスポーザルを推奨
2.全ての治療器具の消毒・滅菌
4
歯科医師・歯科衛生士・歯科助手の学会・学術会・勉強会などに意欲的に参加し技術の向上を常に行っております。
5
アフターフォロー。
治療のみならず、治療経過・予防の大切さを熟知して力をいれておこなっております。
6
専門医制度。
必要に応じて大学病院のドクターや専門医による診療も行えるようにしております。
7
保険治療を主体。
8
無痛(出来るだけ痛みを最小限に!)を目指します。
9
最先端医療・最先端の医療機器の導入
10
何よりも患者様を第一に考えております。

医療法人社団 広仁会 平和島歯科/京急平和島歯科
院長・ドクター・スタッフ一同

京急平和島歯科のクリーニング(保険内治療)

  1. 歯石を超音波でとります。
  2. 歯科用研磨剤で歯を磨きます。(茶渋・タバコのヤニなどをとります。)
  3. 更に、細かい粉を吹きつけ細部の着色をとります。
  4. 歯ブラシ・歯間ブラシ・デンタルフロスを説明します。
  5. 次回の検診の目安を個人個人にお話します。

MI(できるだけ削らない治療)

できるだけ削らないむし歯治療、MIを当院では行なっています。
「MI」というのは、Minimal Intervention(ミニマル・インターベンション:最小限の侵襲)の略で、「歯を削る量をできる限り少なくして、今ある歯をできるだけ残す」と、言うことです。
(虫歯になっても基本的には悪い所しか削らず、可能な限り健康な歯を残すという治療法)

当院の考えるMI治療①

歯科医として一番大事なのは、患者さんの歯を守ることです。
一度歯を削ってしまうと、二度と再生することはありません。また、自分の天然の歯に勝るものはありません。

そもそもむし歯にならないように、きちんと予防をすること。
そして、もしむし歯になってしまったとしても、二度とむし歯にならないようにできるだけ削らないで治療をすること。
さらに、治療した歯やお口全体の健康を保つために、メンテナンスをすること。
この3つが大切だと考えています。

当院の考えるMI治療②

MIにはたくさんのメリットがあります。
歯を削る量が少なくてすむので、自分の歯を守ることができます。
詰め物の新しい接着方法や新しい歯科素材の開発が進んだため、歯と詰め物の境目がほとんどなくなり、むし歯が再発する可能性が低くなりました。
白い詰め物を使うので、自分の歯との見分けがつかないほどきれいに仕上がります。
金属を使わないので、金属アレルギーの患者さんも大丈夫です。
従来の審美治療に比べて、低価格で治療を受けることができます。

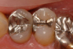
歯間の虫歯治療

従来のインレーによる治療

従来のインレーによる治療

2箇所の虫歯をつなげるように大きく歯を削り込みます。

従来のインレーによる治療

型取りをしてインレーをセメントで合着します。実際の虫歯より大きな範囲の歯を削る必要があります。

MIに基づいたコンポジットレジンによる治療

MIに基づいたコンポジットレジンによる治療

2箇所の虫歯のみを必要最小限除去します。

MIに基づいたコンポジットレジンによる治療

ピンポイントで除去した穴に直接コンポジットレジンを流し込み、光線をあてて固めます。
インレーと比べて健康な歯を多く保存できます。

笑気吸入鎮静法(無痛治療)

笑気吸入鎮静法は、笑気吸入装置で30%以下の低濃度笑気と70%以上の酸素を混合し、専用の鼻マスクから笑気を肺に吸入させることで、血中に急速に溶け込み、5分以内に鎮静状態に到達します。また、血中からの排泄も非常に速く、笑気の吸入を停止すればいつでも速やかに鎮静状態から回復しすぐに帰宅できます。

おすすめする患者様

歯科治療に不安感、恐怖心、不快感を持っている方・治療を極端にいやがるお子さま・神経質な方・ストレスに対する予備力の低い高齢の方・過去、歯科治療中の神経性ショック、脳貧血様発作、疼痛性ショックの経験がある方・心疾患、高血圧など内科的慢性疾患を持ち、歯科治療のストレスを軽減すべき方・嘔吐反射の強い方など

料金

1回 ¥2,750~

笑気吸入鎮静法の流れ

  1. 鼻から笑気と酸素を吸入します。(少し甘い匂いがしますが殆ど感じません)
  2. 2~3分で気持ちがリラックスし、落ち着いた状態になります。(心拍数や血圧、呼吸など全身状態が安定します)
  3. 処置が終わり、笑気量をゆっくり減らせば2~3分で麻酔の影響はなくなります。
  4. 体内への残存や、副作用はありません。